top of page
Орсон хичээлүүд
All programs
CT - Computed Tomography
MRI
X-ray
2. Clinical Neuroanatomy
MNT 35,000.00
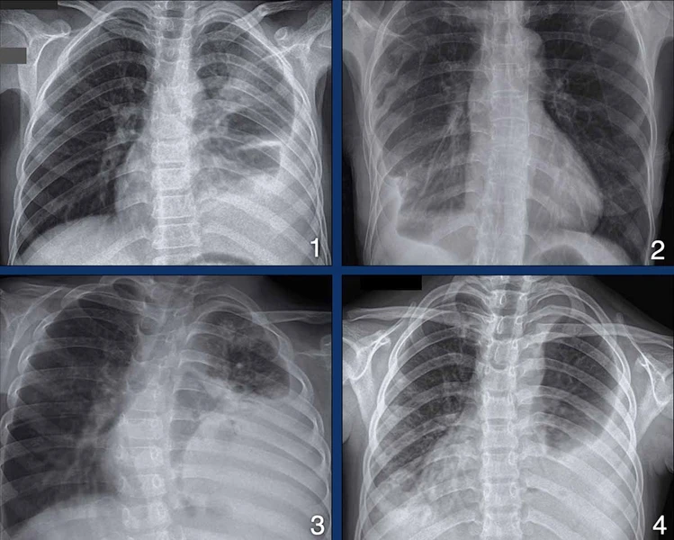
4. Цээжний X-ray-д илрэх өвчинийг Cases дээр тайлбарлах
MNT 30,000.00 or Chest X-Ray
MRI Физик техникийн үндсэн ухагдахуун
MNT 170,000.00
bottom of page







